我院成功救治一例巨大动脉瘤破裂患者
近日,原州区人民医院神经外科在福建医科大学附属第一医院“组团式”帮扶专家周志伟的带领下,成功抢救一位“髂内动脉瘤破裂伴巨大血肿形成”的患者。
患者男,78岁,因“突发下腹部、右侧腰背部疼痛伴无尿3天”,就诊我院急诊科,经神经外科会诊后,帮扶医师周志伟和林思铭查看病人后,结合患者腹痛,腹部查体可扪及搏动性肿块,且下腹部可观察到明显瘀斑,考虑患者动脉瘤破裂可能性大,决定首先稳定患者病情,急诊行主动脉CT增强检查,证实为右侧髂内动脉动脉瘤破裂并巨大血肿行成,压迫右侧肾脏及输尿管,随时可能再次出血导致失血性休克,危及生命。紧急多学科会诊讨论认为病人病情危重,转运风险高,需马上介入手术治疗,但同时基础病多、病情复杂、手术风险极高。通过与家属充分沟通后,遂紧急启动绿色救治通道。
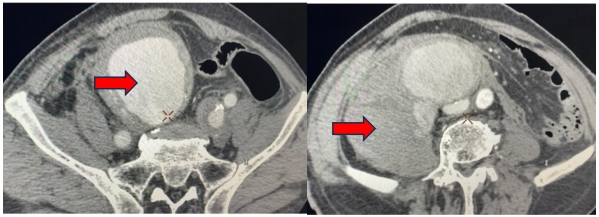
术前CTA红色箭头为动脉瘤及血肿
术前CTA提示右侧髂内动脉瘤伴巨大破口
术中左图造影提示右侧髂内动脉瘤,右图复查造影动脉瘤未显影
术中行“腹主动脉、双侧髂动脉造影+覆膜支架腔内隔绝+右侧髂内动脉栓塞”,术后再次造影提示腹主动脉和双侧髂外动脉通畅,右侧髂内动脉瘤不显影,右侧髂内动脉栓塞良好。
复查CTA提示动脉瘤隔绝满意
术后患者因为急性心衰、急性肾衰等,即刻转入重症医学科继续抢救,经多学科联合会诊(泌尿外科、普外科、肾内科、心内科、重症医学科)后,优化了诊疗方案,在全体医护人员共同努力下,2天后患者顺利转至普通病房继续康复治疗,患者生命体征平稳,肌酐下降至接近正常,复查CT增强无动脉瘤内漏表现,一周后顺利出院。
【科普知识】
主动脉瘤是人体主要动脉(主动脉)发生扩张的疾病。当主动脉局段发生扩张,直径超过正常主动脉直径的1.5倍以上时,可诊断为主动脉瘤。此次病例中的髂动脉瘤属于其中一类,根据形态和位置可以区分四类。这类瘤体有时被形象地称为“不定时炸弹”,因为一旦破裂,高速高压的动脉血液会立即喷射入腹腔,导致严重的内部出血,危及生命。
腹主动脉瘤及髂动脉瘤破裂的症状包括:
1.突发、剧烈且持续的腹痛或背痛,可能引起击穿或撕裂感;
2.低血压;
3.脉搏加快。
如果怀疑主动脉瘤破裂,请立即就医。治疗取决于动脉瘤的大小、生长速度以及患者的整体健康状况。紧急手术是最有效的抢救措施,旨在迅速控制出血并修复动脉瘤。
供稿:神经外科
编辑:马 瑛
审核:张勤平
监制:张继国

用户登录
还没有账号?
立即注册